• 9810172415   |  All days except Thursday 10.00 AM-2 .00 PM l 4.00PM-8.00 PM  |  
  • imperialsmilesdental@gmail.com
Dental Implant Clinic in Gurgaon

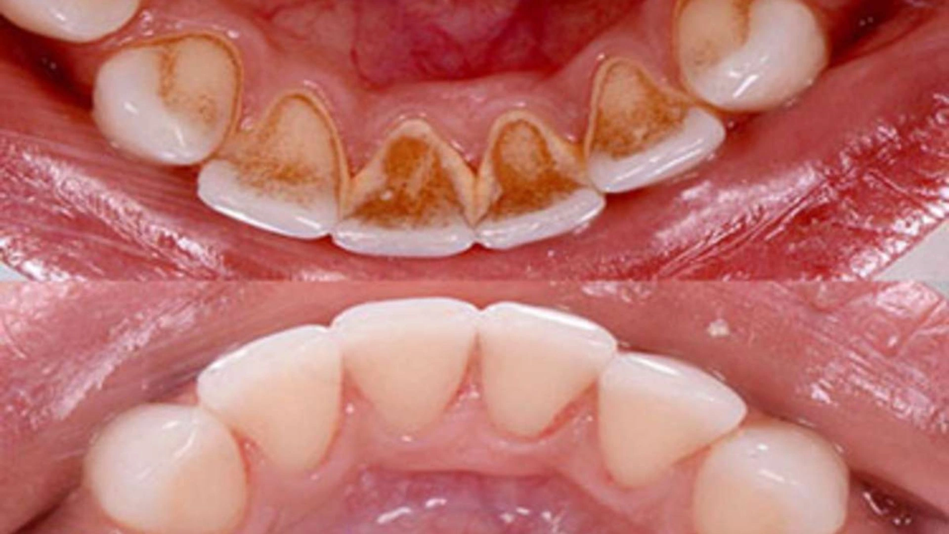
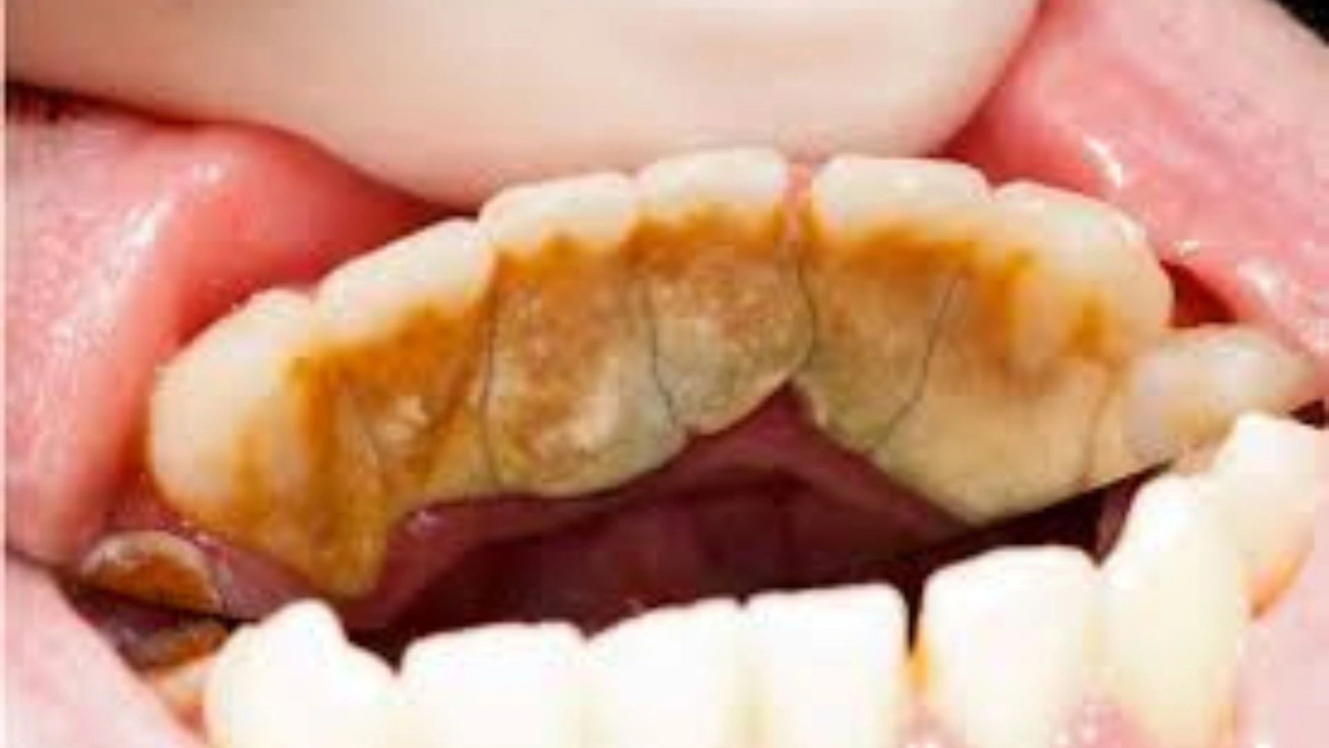
Calculus in Teeth (Tartar) : Causes, Prevention and Removal

March 27, 2026

Did you know that 80% of adults experience some form of gum disease often caused by untreated plaque turning into calculus in teeth? Once plaque hardens into tartar, it becomes a serious oral health issue that you cannot remove with regular brushing. If you’ve ever noticed yellow or brown deposits near your gum line, chances […]

Dental Implant Clinic in Gurgaon

Teeth Whitening at Home vs Dentist : Complete Difference

March 25, 2026

A bright white smile is no longer a luxury, it’s something most people want. In fact, studies suggest that over 70% of adults feel more confident with whiter teeth and cosmetic dental procedures like teeth whitening continue to grow worldwide. But here’s the big question most patients ask: Should you choose teeth whitening at home […]

Dental Implant Clinic in Gurgaon

Teeth Cap Price in Gurgaon 2026 : Types, Cost and Process

March 23, 2026

If you’ve been told you need a dental cap, your first question is probably simple: what is the teeth cap price? And honestly, that’s the right place to start. Dental treatments can feel confusing and expensive if you don’t have clear information. Many patients in India delay treatment because they are unsure about costs, types, […]

Dental Implant Clinic in Gurgaon

Teeth Cleaning Cost in Gurgaon 2026 : Imperial Smiles Dental

March 20, 2026

Most people brush and feel that is enough. But if you have ever noticed yellow deposits near your gums or bad breath that does not go away, you are already seeing the limits of brushing. This is where understanding the Teeth Cleaning Cost in Gurgaon becomes important because professional cleaning is not a luxury. It […]

Dental Implant Clinic in Gurgaon

Are Invisible Braces Suitable For Teenagers With Crooked Teeth

December 23, 2025

Teenagers grow through an important phase of confidence building. A bright smile often plays a major part in that emotional journey. Many parents now explore orthodontic options beyond traditional metal braces. Today we discuss whether invisible braces can help teenagers who struggle with crooked teeth. We also explore the popular demand for invisible braces treatment […]

Dental Implant Clinic in Gurgaon

Complete Guide to Best orthodontist Treatments in Gurgaon: From RCT Cost to Invisible Braces and Crowns

December 17, 2025

Your smile often speaks before any word leaves your lips. It can feel hard to relax when teeth look crooked or your bite feels wrong. This guide gently supports people who want confident teeth and a truly comfortable bite.  Here you discover practical treatments that ease pain, protect teeth, and bring your smile back every […]

Dental Implant Clinic in Gurgaon

Smile Makeover: Procedures, Benefits, and What to Expect

December 8, 2025

Have you ever caught yourself smiling in a mirror and thinking, something feels off? Maybe your teeth do not line up quite right, or years of coffee and stress have dimmed their shine. A smile makeover is not about vanity, it is about rediscovering your confidence.  Whether it is laser teeth whitening in Gurgaon, aligners, […]

Dental Implant Clinic in Gurgaon

Can Invisible Braces Fix Crooked Teeth? A Complete Guide

October 30, 2025

Crooked teeth are more common than you might think. Studies suggest that nearly 60–70% of people have some level of misalignment, yet many avoid treatment because they don’t want visible metal braces. This is where modern orthodontics has changed everything. If you’ve ever wondered, “Can invisible braces fix crooked teeth without anyone noticing?” — the […]

Dental Implant Clinic in Gurgaon

Are Dental Implants Right for You? | Imperial Dental Clinic

October 27, 2025

Losing a tooth can feel like more than just a cosmetic issue. It affects how you eat, speak, and even your confidence. If you’re researching solutions, you’ve probably asked yourself: Are dental implants right for you? This is one of the most common questions patients ask dentists today. And for good reason. According to the […]

Dental Implant Clinic in Gurgaon

How Long Does Invisible Braces Treatment Take?

September 26, 2025

When you want a straighter smile, you do not want to wait forever. Most people want quick results but dread the idea of metal wires showing every time they talk or laugh. That is exactly why invisible braces feel like such a relief. They are discreet, effective, and surprisingly comfortable. But here is the catch: […]

Contact Us

  • All days except Thursday 10.00 AM-2 .00 PM l 4.00PM-8.00 PM
    9810172415
Quick appointment : Quick appointment